

インプラント治療とは、虫歯やケガなどで失った部分の顎の骨にインプラント(人工歯根)を埋め込み、人工歯を装着して歯の機能を回復させる治療です。
歯を根本から再現するので、自然な見た目だけでなく、まるでご自身の歯のようにしっかり噛めるお口を取り戻すことができ、選ばれる方が増えている治療法です。
前後の歯を削って支えにする「ブリッジ」や、歯や歯茎との隙間が生じやすく虫歯・歯周病のリスクが高い「入れ歯」と比べると、残っている健康な歯に負担をかけず、より安定した噛み心地と、お口全体の健康を長く保っていただけることも特長です。
インプラントをしたい。でも…
倉敷のみならず岡山全域、
県外の患者様からも

*2009〜2023年

倉敷市児島・浅口市鴨方でインプラントや補綴治療などの高度歯科治療を行う「医療法人あかり歯科クリニック」は、インプラントの累計埋入実績1500本以上を誇り、インプラント治療歴は15年以上になるなど、倉敷でも有数の治療実績を有しています。
様々な症例に触れてきたからこそ可能な、精密な診断と質の高いオペにより、長持ちするインプラント治療を提供しています。
歯周病認定医
だから可能な
「全顎治療」

あかり歯科クリニックでは、歯周病認定医であり、大学病院口腔外科にて幅広い症例に触れ、様々な治療経験を積んだ理事長がインプラント治療の診断からオペまでを行います。
患部だけでなくお口全体の健康を考慮した、安定性の高いインプラント治療を提供することが可能です。
骨造成や
医科連携で幅広く
対応可能

骨の厚みや量が足りない場合には、骨を再生させる骨造成を行うことで、インプラントの埋入が可能になります。
歯周病・糖尿病・骨粗しょう症などの持病がある方には、近隣の医療機関や患者様のかかりつけ医と連携して体調をコントロールすることで安全にインプラントを行えるように体制を整えています。

あかり歯科クリニックでは、レントゲンや歯科用CTなどの先進設備を充実させており、精度の高い診断・治療に役立てています。
院内感染を防ぐ衛生システムや、オペの専用設備も整えているため、安心して治療を受けていただくことができます。

例えば歯を3本失った場合でも、インプラント2本を支えにするインプラントブリッジにすることで、インプラント1本分の費用を抑えることができます。児島駅の歯医者 あかり歯科クリニックでは、治療の安全性や安定性に妥協することなく、治療費をできる限り抑えられる方法をご提案しています。

当院のインプラント治療には、10年間の保証が付帯します。保証期間内にインプラントが抜けてしまった、グラグラしてきたなどのトラブルがあった場合は、無償で再治療をさせていただきますので、安心してお使いいただけます。

岡山市内や香川県など、遠方の方で当院のインプラント治療をご検討されている方や、お仕事などが忙しく通院が難しいという方でも治療を受けていただけるよう、治療工程を工夫し来院回数を少なく抑えています。
遠方から・相談だけも歓迎!
インプラントに関する不安や疑問は
1人で悩まず、まずはお気軽にご相談ください
FLOW

遠方にお住まいの方や、忙しくて時間が取れない方、ご来院の勇気が出ないという方でも、インプラント治療への疑問・不安などにトリートメントコーディネーターが電話でお答えします。
[電話受付時間]9:30-12:30 / 14:00-18:00
(土17:00まで)
木・日・祝 休診

レントゲンや口腔内写真を撮って、お口の状態を見させていただいた上で、治療法や期間についてより詳しく説明いたします。
実際の画像や資料を見ながら分かりやすくご説明いたします。ちょっとした疑問や、電話相談では聞ききれなかったことなど、なんでもご質問ください。

患部の骨の状態や量・神経の位置などを調べるために、CT撮影などのより詳細な検査を行います。
(※ここからは検査費用が発生いたします)

検査結果を元に、歯科医師が治療計画を立案しご提案いたします。

治療計画にご納得いただけたら、インプラント治療を始めます。

治療後も定期検診やクリーニングにお越しいただき、清潔な口腔環境を守ります。

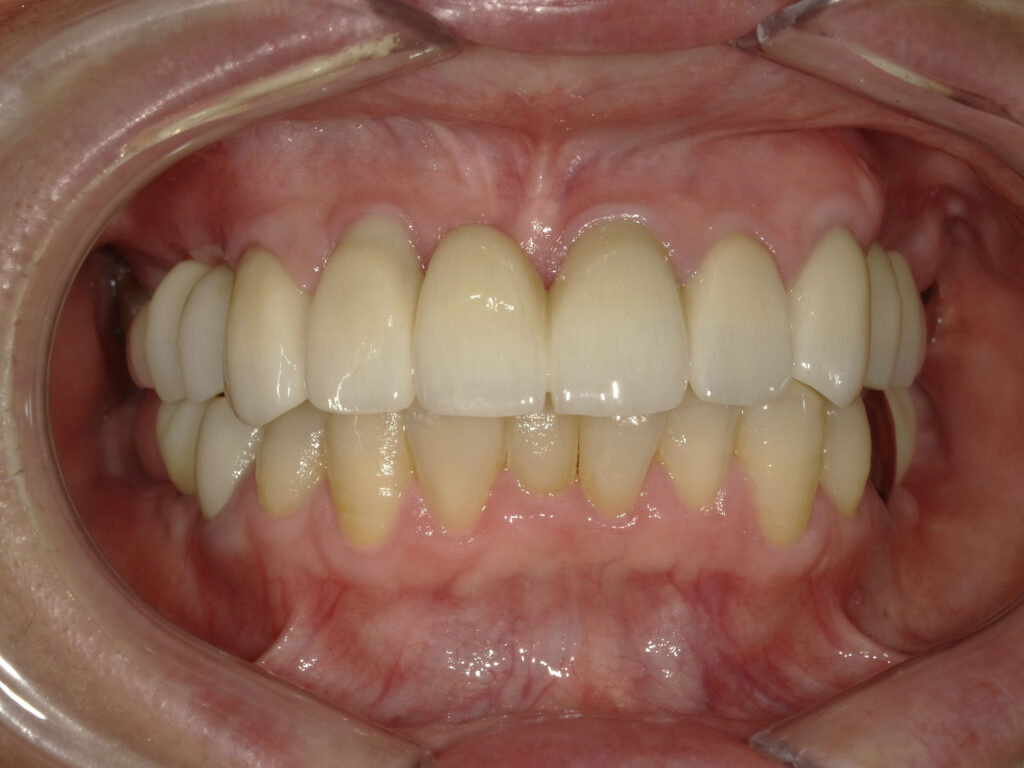
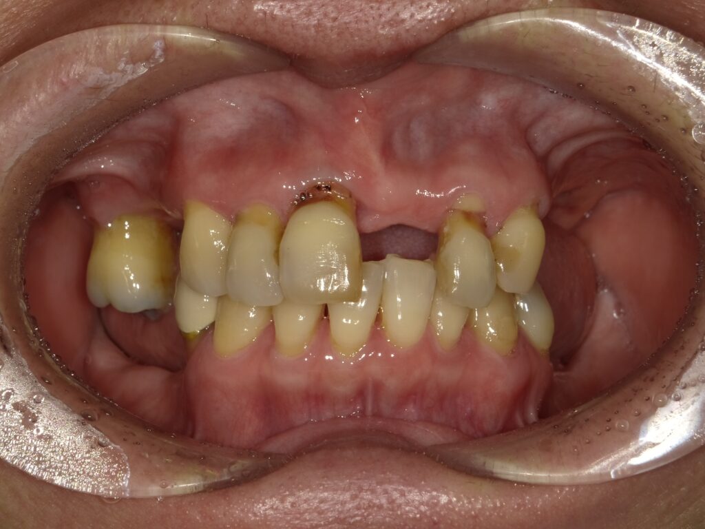
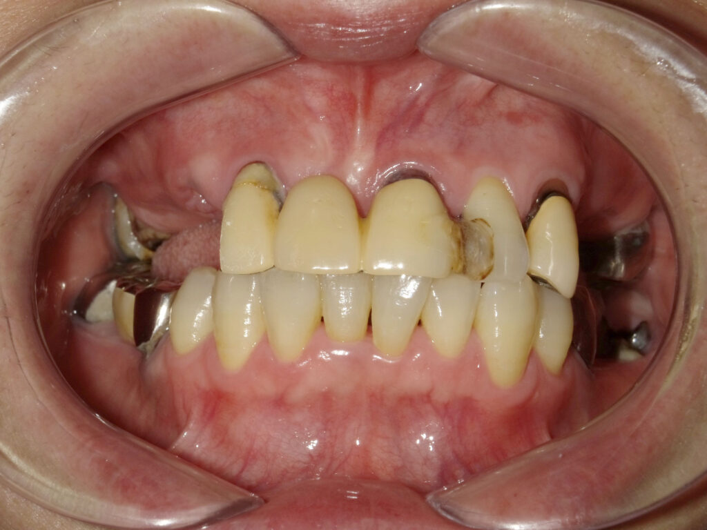
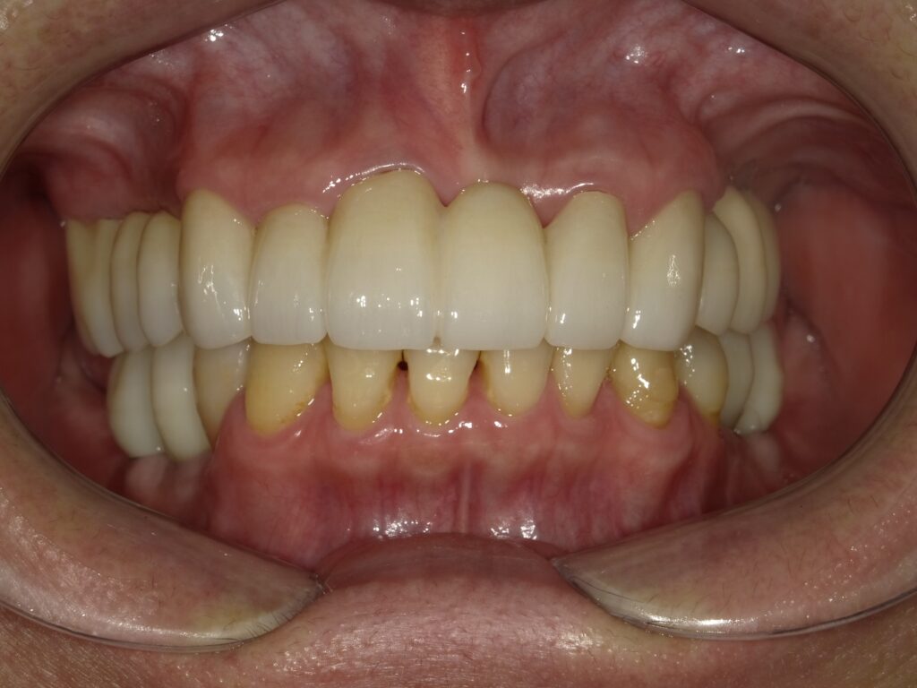
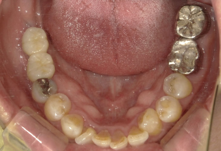
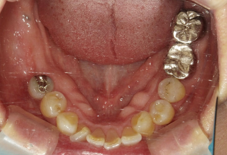
実際に当院で行ったインプラントの
治療例をご紹介します

デンタルローンを使った
『分割払い』の場合

月々7,800円
(総額418,000円の場合/
60回払いの場合/初回のみ11,931円)

月々20,500円
(総額1,089,000円の場合/
60回払いの場合/初回のみ20,525円)

月々38,300円
(総額3,630,000円の場合/
120回払いの場合/初回のみ41,147円)

月々31,400円
(総額1,672,000円の場合/
60回払いの場合/初回のみ35,924円)
*表示価格は消費税などの諸費用を含みます

河田 有祐
KAWATA YUSUKE


CLINIC INFORMATION


遠方から・相談だけも歓迎!
インプラントに関する不安や疑問は
1人で悩まず、まずはお気軽にご相談ください