インプラント専用ダイアル
086-472-8382
[電話受付時間]9:30-12:30 / 14:00-18:00(土17:00まで)木・日・祝 休診
  • WEB予約
  • MAIL相談

医療法人あかり歯科クリニックのインプラント治療例

CASES

当院の治療例

治療本数がほとんど・全ての治療例

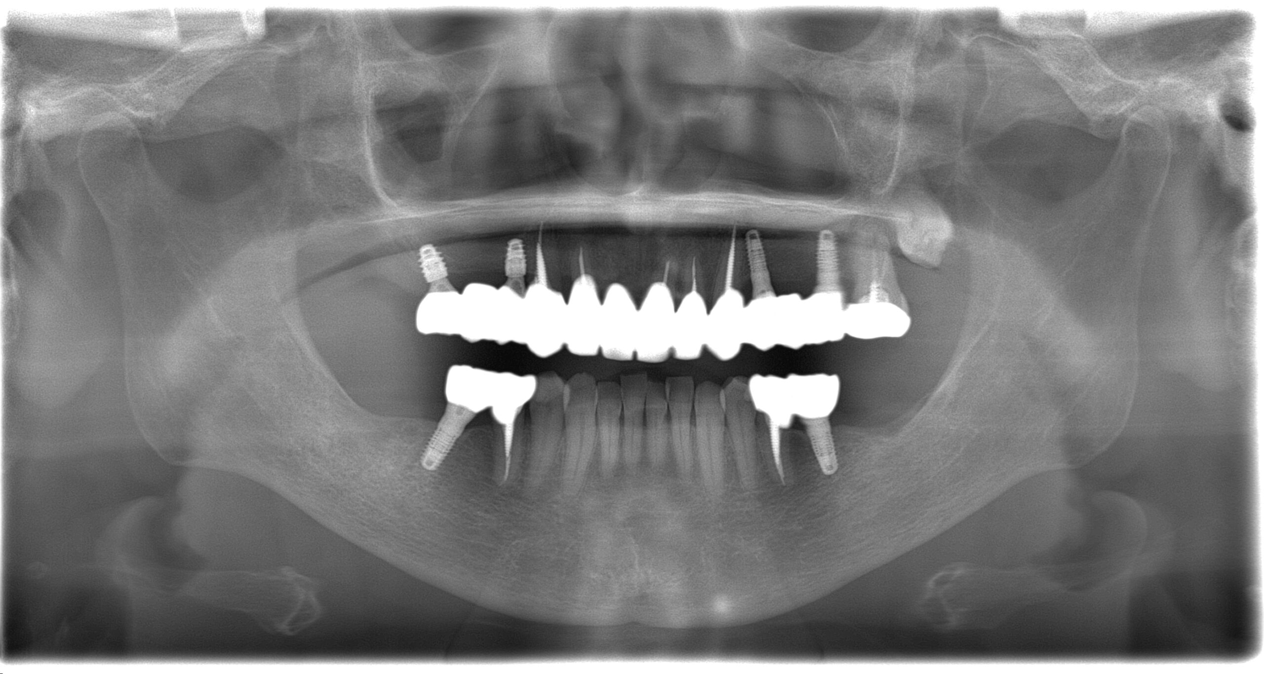
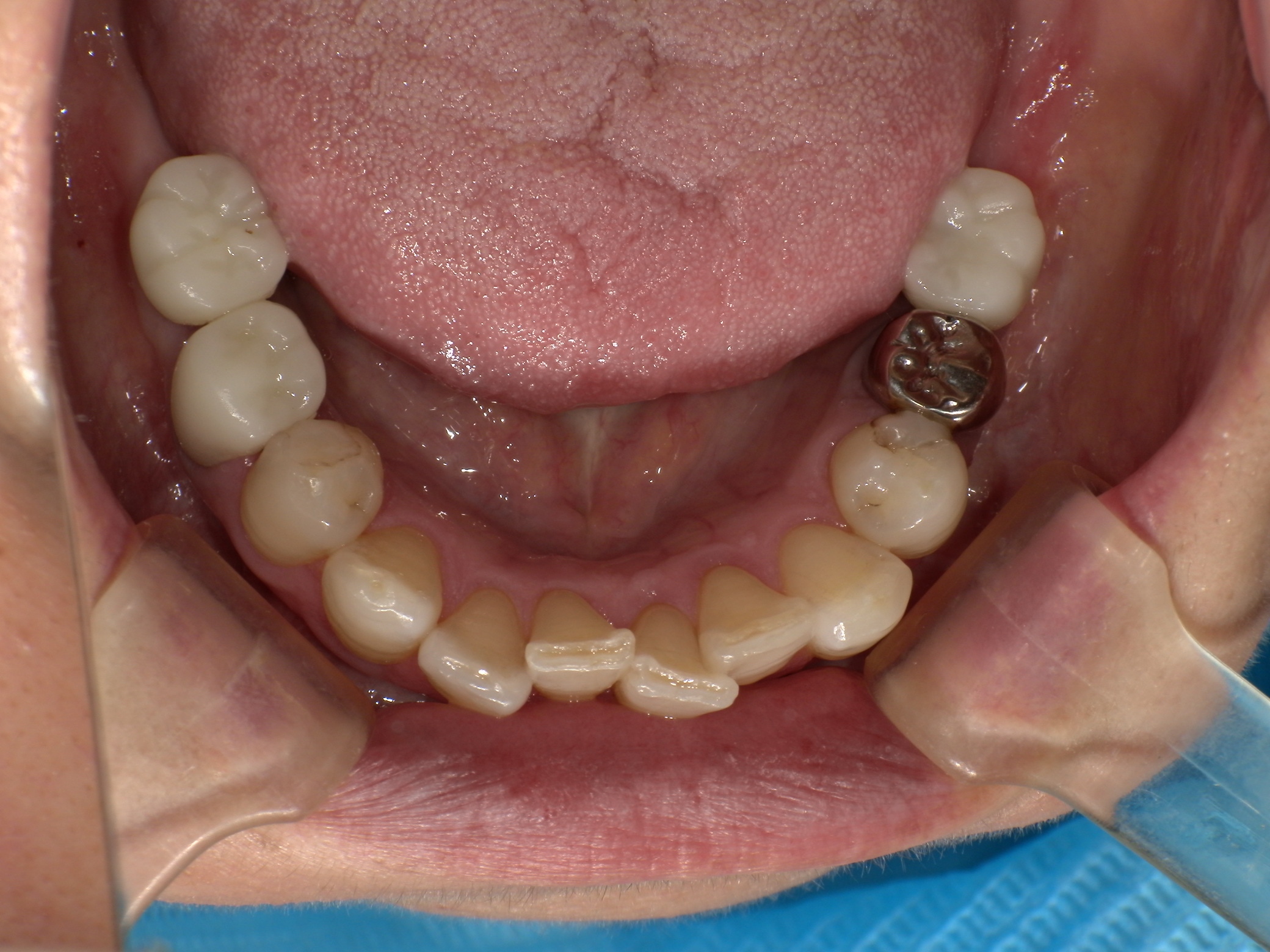
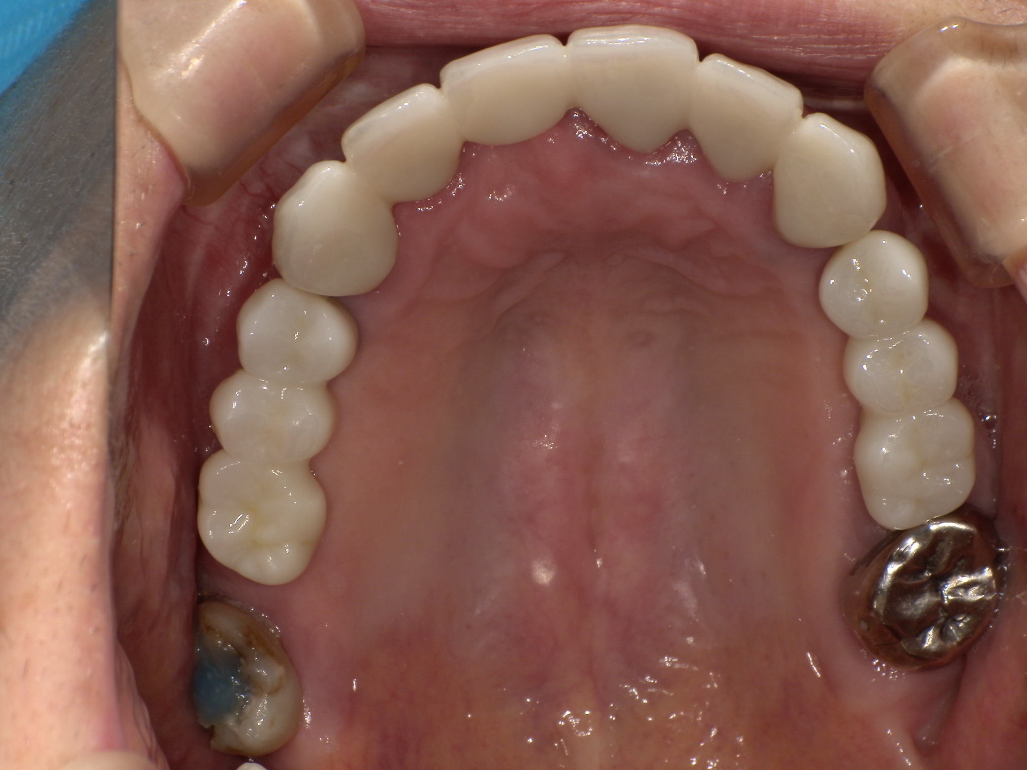
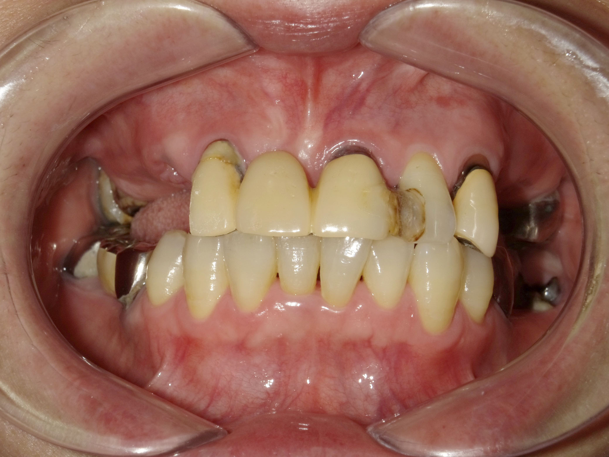
BEFORE

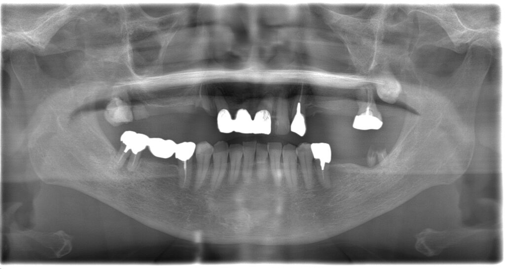
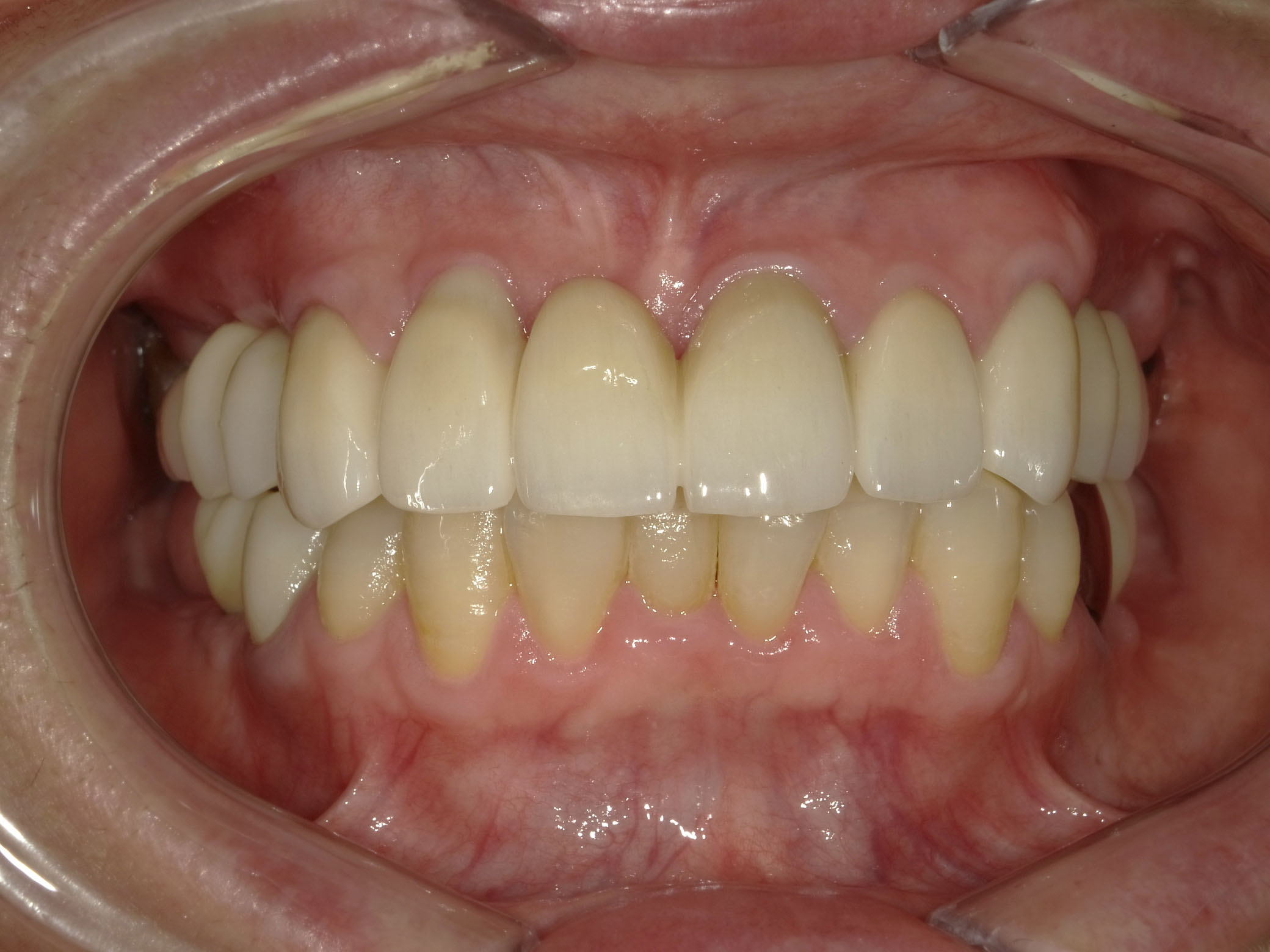
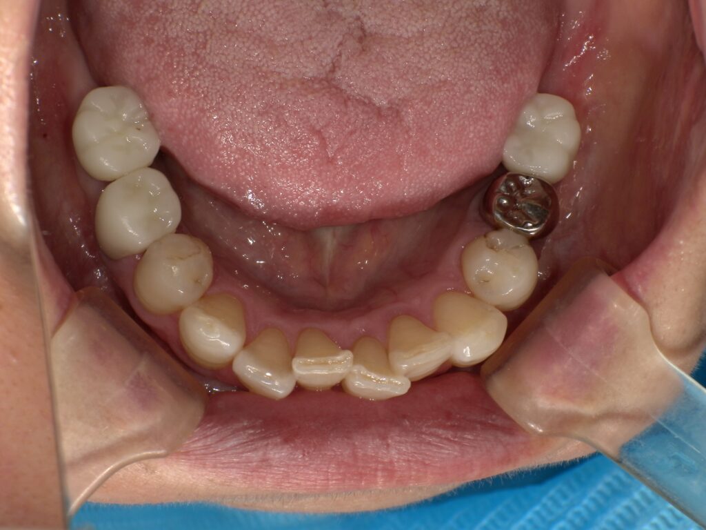
AFTER

BEFORE

AFTER

BEFORE

AFTER

BEFORE

AFTER

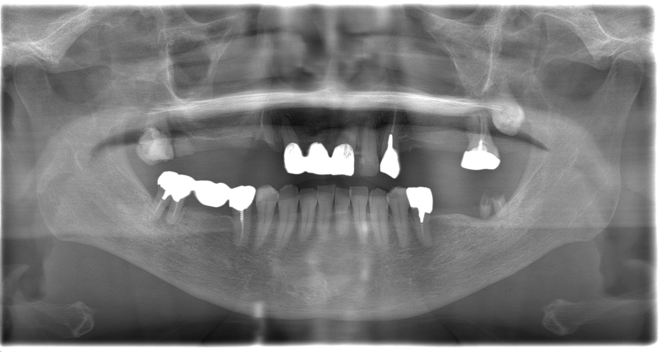
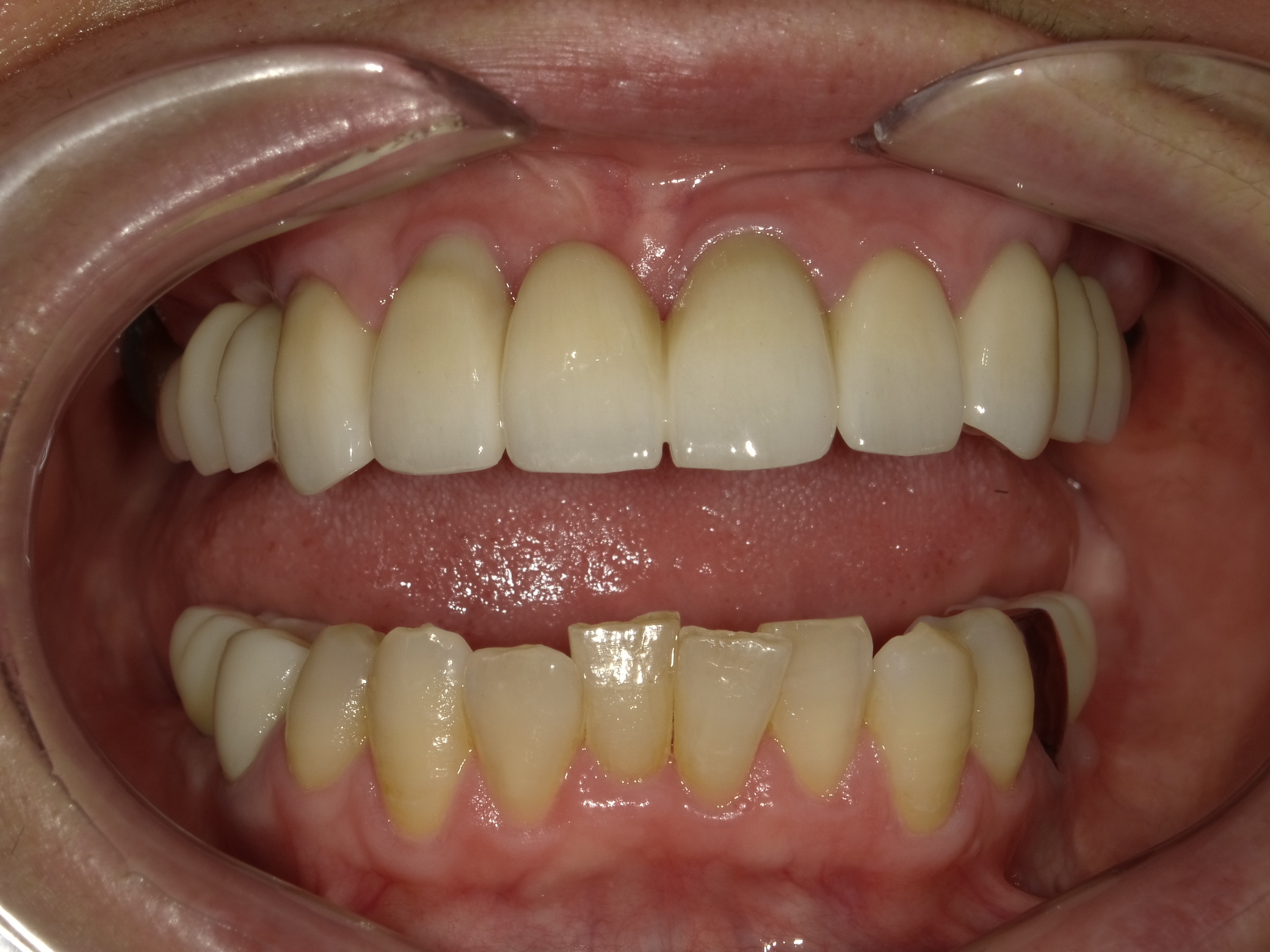
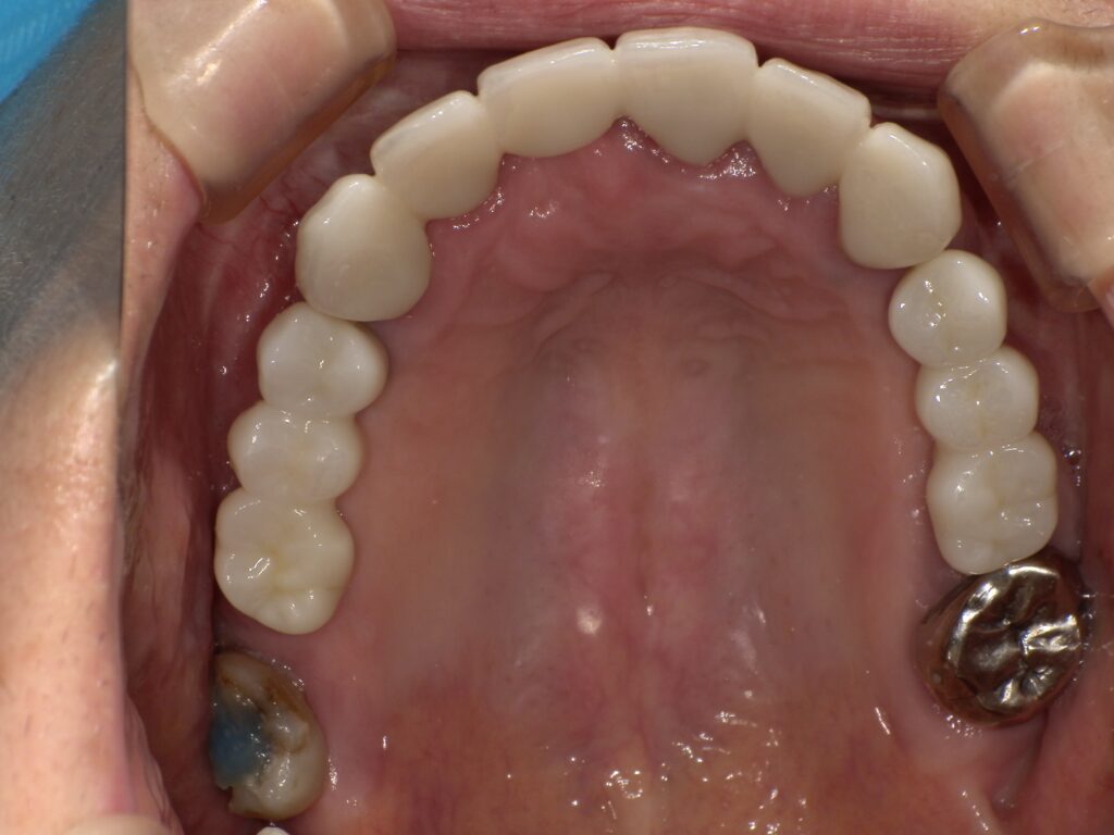
主訴

全体的に見た目を綺麗にしたい。奥歯でしっかり噛みたい。

診断名・主な症状

臼歯部欠損

年齢

70歳

治療内容

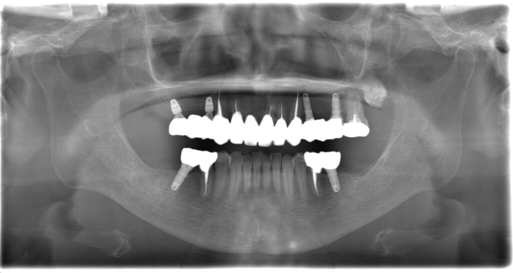
インプラント埋入(右上4・6,左上4・6,右下6,左下6)
ジルコニアBr(右上3―左上3)
ジルコニア(右下5,左下5)

治療期間/
通院回数

インプラント 1年5ヶ月/13回
ジルコニアBr、ジルコニアクラウン 3ヶ月/10回

費用

インプラント: 2,552,000円
その他治療: 640,000円
合計 3,192,000円
*いずれも税込

インプラント治療の
リスク・副作用

定期的なメインテナンスを行わない場合、インプラントが脱落する可能性があります。被せ物は経年的な劣化で欠ける可能性があります。

倉敷児島玉野水島」方面の方

医療法人
あかり歯科クリニック
〒711-0921 
岡山県倉敷市児島駅前1-13-1
  • TEL 086-472-8030
  • FAX 086-472-8093
診療時間:午前9時30分〜12時30分、午後14時〜18時30分

18:00まで 17:00まで

木・日・祝 休診

(祝日のある週は木曜も診療いたします)

医療法人 あかり歯科クリニック:オフィシャルサイト

笠岡浅口矢掛玉島」方面の方

医療法人あかり歯科クリニック
池田歯科医院
〒719-0252 
岡山県浅口市鴨方町六条院中3551-3
  • TEL 0865-44-8050
診療時間:午前9時30分〜12時、午後14時〜18時

17:00まで =往診・訪問診療

木・日・祝 休診

(祝日のある週は木曜も診療いたします)

医療法人 あかり歯科クリニック 池田歯科医院:オフィシャルサイト

遠方から相談だけも歓迎!

インプラント
無料相談

お電話・
メールで
相談可能

*

遠方の方/お忙しい方/
ご来院の勇気がでないという方も、
まずはお電話でじっくりご相談いただけます。

インプラントなど高度な治療専門

「専門外来」専用ダイアル

086-472-8382

[電話受付時間]9:30-12:30 / 14:00-18:00

(土17:00まで)

木・日・祝 休診

  • WEB予約
  • MAIL相談

インプラントに関する不安や疑問は
1人で悩まず、まずはお気軽にご相談ください