インプラント専用ダイアル
086-472-8382
[電話受付時間]9:30-12:30 / 14:00-18:00(土17:00まで)木・日・祝 休診
  • WEB予約
  • MAIL相談

医療法人あかり歯科クリニックのインプラント治療例

CASES

当院の治療例

治療本数が2〜3本の治療例

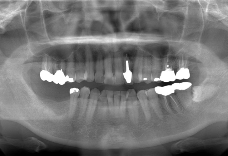
下顎臼歯部インプラント治療(2本)

BEFORE

AFTER

BEFORE

AFTER

BEFORE

AFTER

主訴

右下奥歯の歯が無い。インプラント治療をしたい。

診断名・主な症状

右下臼歯部欠損

年齢

54歳

治療内容

インプラント(右下6・7)
オールセラミックス(左上2)
E-MAX CAD(左上6・7)

治療期間/
通院回数

インプラント: 4ヶ月/6回
オールセラミック、E-MAX CAD: 4ヶ月/6回

費用

インプラント: 700,000円
オールセラミック、E-MAX CAD: 269,500円
合計 969,500円
*いずれも税込

インプラント治療の
リスク・副作用

定期的なメインテナンスを行わない場合、インプラントが脱落する可能性があります。被せ物は経年的な劣化で欠ける可能性があります。

倉敷児島玉野水島」方面の方

医療法人
あかり歯科クリニック
〒711-0921 
岡山県倉敷市児島駅前1-13-1
  • TEL 086-472-8030
  • FAX 086-472-8093
診療時間:午前9時30分〜12時30分、午後14時〜18時30分

18:00まで 17:00まで

木・日・祝 休診

(祝日のある週は木曜も診療いたします)

医療法人 あかり歯科クリニック:オフィシャルサイト

笠岡浅口矢掛玉島」方面の方

医療法人あかり歯科クリニック
池田歯科医院
〒719-0252 
岡山県浅口市鴨方町六条院中3551-3
  • TEL 0865-44-8050
診療時間:午前9時30分〜12時、午後14時〜18時

17:00まで =往診・訪問診療

木・日・祝 休診

(祝日のある週は木曜も診療いたします)

医療法人 あかり歯科クリニック 池田歯科医院:オフィシャルサイト

遠方から相談だけも歓迎!

インプラント
無料相談

お電話・
メールで
相談可能

*

遠方の方/お忙しい方/
ご来院の勇気がでないという方も、
まずはお電話でじっくりご相談いただけます。

インプラントなど高度な治療専門

「専門外来」専用ダイアル

086-472-8382

[電話受付時間]9:30-12:30 / 14:00-18:00

(土17:00まで)

木・日・祝 休診

  • WEB予約
  • MAIL相談

インプラントに関する不安や疑問は
1人で悩まず、まずはお気軽にご相談ください